山口県宇部市の歯科医院、歯周内科

無料メール相談

予約

歯周内科

歯周病は遺伝ではなく感染されているのです

  • 一生懸命歯磨きするのに、歯周病が良くならないのはなぜ?
  • 歯周外科手術をしたのにしばらく経つと元通り。
  • 毎回麻酔をして汚れ取りで終わってからの痛さは耐え難い。
  • 痛い目をしたのに変化を感じられない、もう一生歯石取りはしたくない。
  • あんなに痛い思いをするくらいなら、歯周病が治らなくても仕方がない。
  • 歯科医院で定期的にメンテナンスしているのにスッキリしないのはどうして?
  • 口臭は歯周病が原因なの?
  • どうして数ヶ月おきに腫れて痛い思いをしなければならないの?

歯周病で悩んでいる患者さんは、歯科医院にずっと通って、治療を受けているのに一向に良くなりません。

  • 自分の歯みがきが上手くないの?
  • 遺伝だから仕方がない?
  • 本当にこの歯科医院に通い続けても大丈夫なの?

初めまして。
かわむら歯科の院長の河村和典です。歯周病の治療について、あれこれ調べているうちに、このページにたどり着いたのですね。

実はここだけの話ですが、歯周病が感染症だと数年前まで歯科医師である私も知りませんでした。歯周病は周りのだれかから菌をもらっているのです。

多くはお母さん、お父さんから赤ちゃんの歯が生えたばかりの頃、口移しでスプーンを介してもらっています。おじいちゃんおばあちゃんが、お孫さんが可愛いあまり、お口にチューすることでもうつってしまいます。

歯周病は親から遺伝するのでしょうか?

いいえ。
遺伝ではなく感染されているのです。

私が歯科医師になって25年、歯周病で悩んでいる多くの患者さんを診てきました。

  • 歯周病を治せないのは私の技術不足なのか?
  • 治らないのは患者さんが磨けないからなのか?

当院の歯周病治療は歯周内科です

歯周内科 内科というのは、薬を飲んで病気を治すということです。

内服薬で歯周病が良くなるなんて、最初に耳にした時には、内容を理解出来ない方法でした。

大学で学んだ知識の範囲を逸脱しています。薬で治る訳が無いと聞き流してしまった治療法でした。

それから数年、歯科専門誌で歯周内科治療の症例報告がされるようになり、私も正式な治療法の講演会を受けてみました。

その講師の自信を持った話し方、流れてくるスライド、私は驚きました。

これは今すぐにかわむら歯科に取り入れないといけない。

講演の翌日より歯科衛生士と共に一から学び始めました

早速、患者さんの治療も始めます

歯周内科治療は保険外治療と位置づけている歯科医院もあります。

当院では、より多くの患者さんに歯周内科の良さをお伝えしたいと、保険治療の一環として、約3,000円の治療費で開始することになりました。 (別途歯みがき剤2,000円を購入していただいています。)

薬を1日1回3日間服用、それと並行して毎食後5分間専用の歯磨き材で歯磨きをしていただきます。特殊な歯の磨き方ではなく、歯みがき剤を歯と歯ぐき全体に行き渡らせるだけの磨き方です。

更に、薬が効いてきた4日目と、7日目の2回の来院で、歯石の除去を行います。
薬を服用して4日目、1回目の歯石取りで来院される患者さんのお口がどのように変化しているか、歯科衛生士と楽しみにしています。

患者さんが笑顔で来院、お話を聞きながらお口の中を診ると

  • 歯肉の腫れが少なくなっている
  • 歯肉からの出血がなくなっている
  • 歯肉に隠れていた歯石が出てきている(歯肉が引き締まることによる露出

歯科衛生士、患者さんと確認します。

  • 他にも口臭がなくなった
  • 口の中のネバネバ感(べとつき)がなくなった
  • 歯の動きがなくなってきた

短期間で目に見える変化に患者さんは大喜びです。

私の持っていた知識、常識が180度変わりました。歯周病は感染症であり、菌をコントロールすることで良くなる。当院での歯周病の治療法もここから全く変わりました。

歯周内科治療を当院の歯周病治療に導入して、患者さんに本当に喜んでもらえるようになりました。

患者さんと共に、歯科衛生士の仕事の楽しみも増えてきました。

みるみる内にブヨブヨに腫れた歯肉が良くなっていくのは、結果が見えない治療ではなく、目に見える治療なので、本当にやりがいを持って、治療に当たっています。

歯周病で悩んでいる患者さん、口臭が気になっている患者さんは、一度、歯周内科治療を受けてみませんか。痛みを伴わない治療です。

1週間で結果が出ます。

患者さんから良くある質問です

一旦歯周病菌を無くしても、また元に戻るんじゃあないですか?

一理あります。

万一、また菌がお口の中に入って来ても、菌の住処となるプラークや歯石がたまっていなければ、再感染しにくい状態になります。

そのために3ヶ月に一回のメンテナンスを続けることをお勧めしています。
そうすることで自分の歯を一生使っていただき何でも食べられる状態を保っていきます。

再感染の防止にも注意します。
ペットボトルの回し飲み、食事で同じはしやスプーンで皿をつつく、キスなどの接触で移される可能性はあります。

歯周内科で菌を減らすのを継続するには、家族単位での除菌は必須だと考えています。

自分だけでなく、大切な家族のお口を歯周病から守っていきましょう。

歯周内科治療には専門的なノウハウが必要

歯周内科治療には専門的なノウハウも必要なので、どちらの歯科医院でも受けられるという治療法ではありません。

専門的な知識と多くの症例で、経験豊富な歯科医師・歯科衛生士のもとで行わなければなりません。

かわむら歯科で歯周内科治療、始めてみませんか。

かわむら歯科で歯周内科の治療を受けた患者様の声

患者様の声

私の両親は共に80代、父は『あるある』で、母は『ないない』•••
50代半ばの私は、この先どちらの道を歩むのか、心底悩んでいた。

父の『あるある』は歯はあるが、歯周病、口臭もあるの意。
母の『ないない』は歯がないが、口臭もない。
思うように噛めない(自費の総義歯で意外とメインテナンスもよくしている様子だが)ということである。

私はといえば、夫の転勤に伴い、全国を転々としていたが、日々の歯みがきと共に四半世紀も前から、ほぼ3〜6ヶ月サイクルで歯科検診、クリーニングを受けていた。にもかかわらず歯周病に悩まされていたのである。

しかもここ数年は、更年期特有のホルモンバランスの乱れから、歯ぐきがうずうずと微熱が続いているような不快感に嘖まれ、歯周病もぐっと悪くなった気がしていた。

私の行く末は父のように歯周病が進行し、歯がぐらぐらして抜け••• 結局母のように義歯になり、おまけに口臭もひどいのかなーと、最低最悪の我が身を想定していた。

今年3月半ば、また転勤に伴い、福岡市から宇部市へ転居。
新しい歯医者さんをさがし、基本、自歯を大切に予防歯科が重要と考える私が選んだところは、かわむら歯科。

初めて歯周内科にも出会い即実行。
口の中のべたつきや臭いが、あっけなく軽減。
特に朝、目覚めた時の口のスッキリ感は、今まで味わった事がない爽快さ。

うまくいけば、8020も夢じゃないと思える今日この頃を過ごしている。

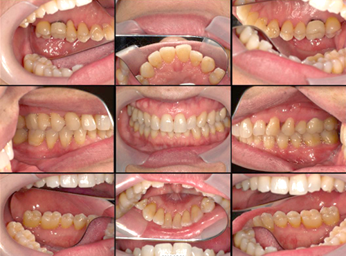
歯周内科治療前

歯周内科治療前

歯周内科治療後

歯周内科治療後